来源:丁香园
作者:Well.J
01
是夜,急诊大厅竟无吵闹:不是一个好兆头。
「小王,喝咖啡吗?给你点一杯?」
「不喝了,我平时喝那玩意会心悸。」彼时我正坐在诊间,趁休息刷了会儿短视频。
突然,外面一阵骚动。出门一看,只见车子推进来一个神志不清的小伙,面相年轻,身体健硕。护士询问基本情况后,迅速上了心电监护,发现患者呼吸频率正常,但是心率非常快。
「血压呢,血压多少?」
「血压机器测不到!」
「330/180!」最后上了有创动脉血压监测才能得到具体数值。
我发誓,我这辈子从没见过这么高的血压,于是我迅速询问患者家属:
「你儿子或者家族有高血压病史?」
「不可能!我儿子才 25,身体一直都很健康。今天我听到他房间一直有些奇怪的动静,进去看发现他已经晕倒在地上了。」
25 岁,既往健康,无疾病史,突发重度高血压,我脑子里乱哄哄的:这世道高血压常见,但如此之高属实第一次见。
当下我的脑子飞速运转,基本排除这位年轻患者原发高血压的可能。
大概率是个继发——「药物」作用?
一边开出急诊血常规、血生化、肝肾功能电解质等套餐,我又问到患者家属,「患者平时有什么长期服用的药物吗?或者,最近吃了什么不应该吃的药吗?」
我试图将嗑药这个问题问的委婉一些,但又希望家属能明白。
没想到患者母亲一口否决,坚称她的儿子身体非常健康,基本没吃过什么药。
但确实,检查回馈的结果也基本全部正常,根据患者的体型来看,也不像是什么瘾君子。
我的思路又断了一下,然后就被护士喊了。「王医生,下一步怎么处理?」
看了一眼监护仪,患者的心率如此之快,我不免怀疑到或许是未曾发现过的心脏疾病,旋即又给患者做了个快速查体,却有了意外的发现。
新的查体提示,患者的双侧瞳孔不等大,一侧瞳孔明显比另一侧更大。我的大脑飞速闪过几个可能:隐匿的头部外伤?颅高压脑水肿?还是农药中毒?
此时和我一起值班的小李突然弱弱地说了一句,「不会是个脑疝吧?」
我的内心只有一句:你小子可它喵给我闭嘴吧。
02
正当我们在等待 CT 回报的时候,患者母亲突然又找到了我,她递给我一只手机,上面不断跳出某短视频软件的提示:「有 5789 个人评论了你,有 9374 个人点赞了你的视频。」
数量还在不断上升。
但我暂时可顾不上这些,迅速点开医嘱系统,打进「甘露醇」三个大字,然后再发了神经内科与神经外科的会诊。
十五分钟后,急诊 CT 的结果出来了,我和小李两颗脑袋立马凑到一起。
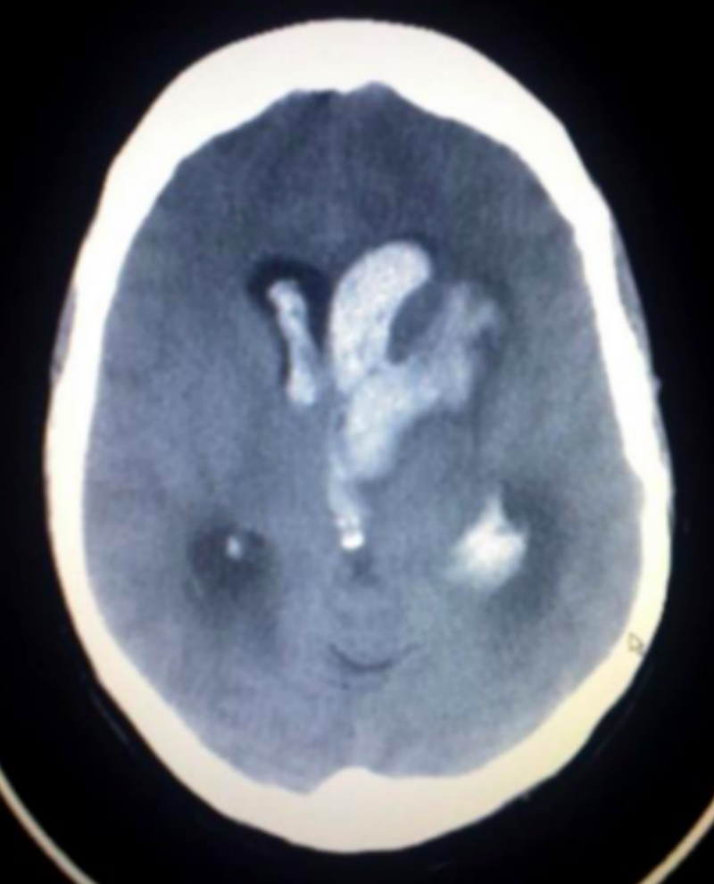
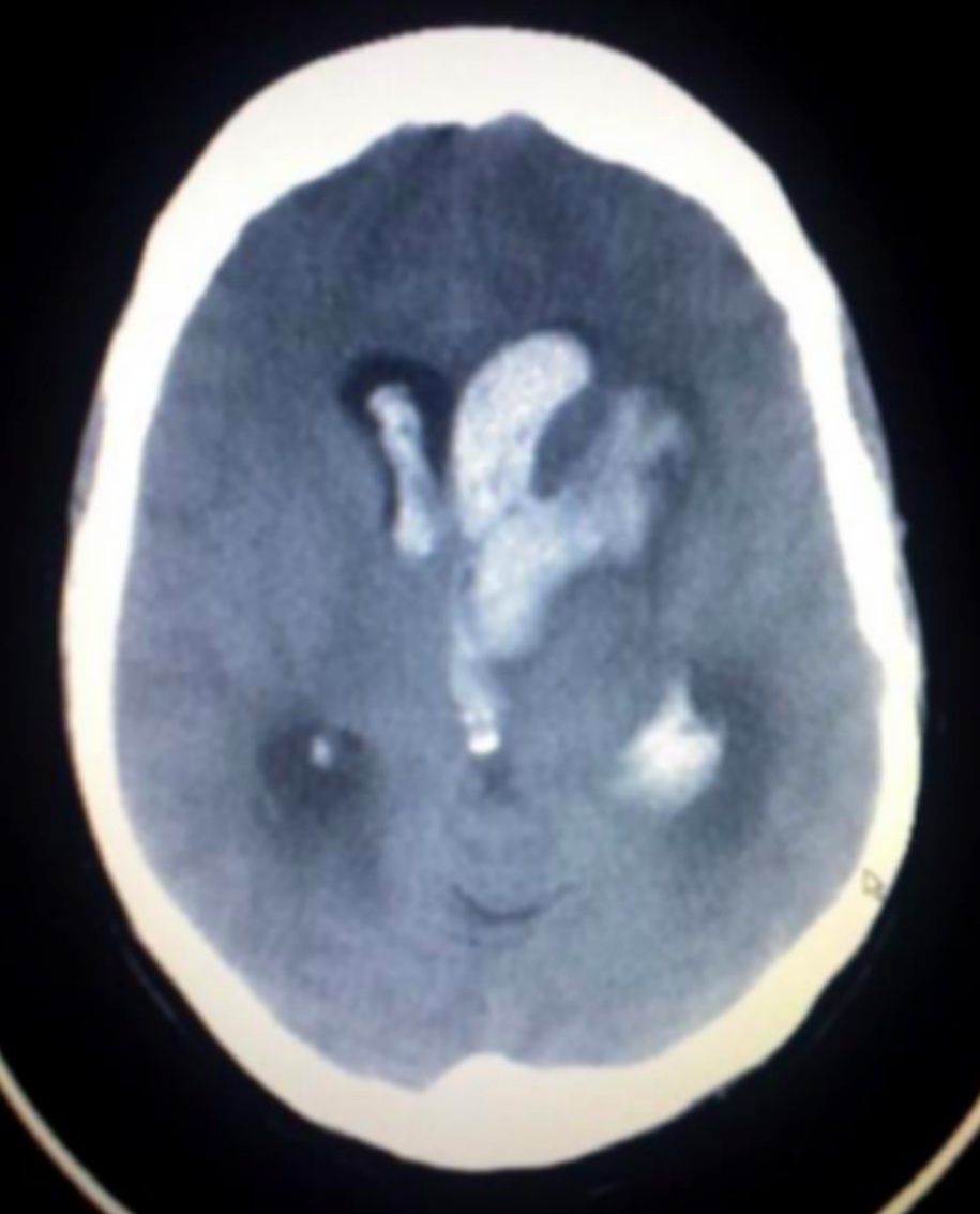
不看不知道,CT 显示患者有非常明显的大片脑出血以及脑水肿表现,正常脑组织已经受压,「看样子是要开急诊手术了。」
颅内出血 CT 表现(非此病例)
图源:Wikipedia
此时,患者的血压和心率并没有下降,但所幸刚呼的神内外医生都已经下楼,这场急诊手术轮不上我,我交接完就回了自个儿诊间。
回去路上,我见到患者母亲,不甘心又再次询问起患者外伤史,得到的答案却依旧是否定。
这时候,这位中年妇女又把患者的手机递给我,语气激动让我必须看看。
「或许手机里能找到些线索?」我心想。
接过手机定睛一看,我发现首页这个账号的粉丝量其实并不多,但是上一条视频热度非常大,破了 50w 点赞。而巧的是,正是患者本人在几个小时前发布了一条封面类似的新视频。
好奇心使我点开了视频。
最新的视频中,患者打开了一个类似保健品的罐头,对着镜头展示了一下内部的粉末状物质,然后连续地吃了四勺。入嘴后患者的表情非常痛苦,看起来是被噎住了。
于是他起身拿起杯子,天真的我以为他是要去接水缓一缓,却没想到这位猛男,拿水又兑了四勺下去。
我当时嘴张大到可以吞下五个鸡蛋——老实说,我从未见过如此作死之人。
这之后,患者准备开始健身。但奇怪的是,还没碰到任何的运动器材,他就开始出汗不止,才举了两下哑铃就跌坐到地板上,双眼紧闭,用手按上了自己的胸膛,实在不像一个正常人会有的反应。
他看起来十分痛苦。
我又迅速点开他的上一个视频,发现他两个视频吃的都是同一种粉末冲剂。而在上一个视频里他还相对正常一些,只吃了两勺。
「这就是传说中的艺高人胆大吗?」
03
老狗如我迅速点开了评论区。
原来,患者是一位健身区的短视频博主,平时发自己健身的视频并没有什么大水花。
前阵子,不知道哪里刮来的一阵新潮流,许多健身区博主突然开始推荐干吃某品牌的健身冲剂。因为品牌宣传标明——「干吃可以绕开水分,以利于身体更好的吸收,产生更好的作用」。
尽管包装上注明了「每日不要超过两勺」,但我的这位患者显然选择性忽视了这句话。
在上一个「两勺」视频尝到甜头以后,他选择再次挑战极限:八勺健身粉,哐哐就是吃。
就在我还没思考清楚这八勺和患者突发的意识障碍有什么关系时,在我身后偷看了许久的小李积极发言:「这玩意儿会不会有问题,搞不好是血压飙高导致脑内血管破裂出血,导致脑水肿,然后颅内压升高才发生了意识障碍。」
好家伙,这小子把我的台词都说完了。
我又打开自己的手机搜索到了博主的账号,点开又仔细看了两遍。
「小李,你看得出他到底吃的是什么吗?我这眼神好像真的不太行了。」
小李用一种关爱老年人的眼神瞄了我一眼以后,在我面前点开了「商品橱窗」四个大字,然后产品就显示出来了。
我点开链接,开始阅读商品的成分说明,发现这种健身冲剂内含有咖啡因、肌酸和由多种物质组成的不明聚合物等。
图源:原病例医生视频提供
部分健身补剂成分 (图源:品牌官网)
乍一看似乎还算正常。但当我再往下翻阅时,发现该冲剂一勺含有 200mg的咖啡因,含量约等于我们平时喝的两杯咖啡。而人体每日推荐摄入咖啡因的上限为 400mg。
也就是说,患者在家中一次性吞了 16 杯咖啡,达到了正常上限的 4 倍。
「他搁那斗地主呢还超级加倍?」小李真不愧是行走的人形弹幕机。
我们都知道,咖啡因实际上就是甲基化的黄嘌呤衍生物(1,3,7-三甲黄嘌呤),可以影响心血管血流动力学,以及心脏的电生理学性质。
它能够促进交感神经末梢释放去甲肾上腺素,而交感神经活性增加和循环性儿茶酚胺浓度增加,则可以使阻力小动脉收缩增强,引起血压升高。
可是,也有研究观察表明,习惯性摄入咖啡者,肌交感神经活性会增加但不伴有升压反应,也就是「仅有交感神经活性增加不足以使血压升高」。
所以回到这个患者身上,如果仅仅是咖啡因的作用,显然不足以让血压升高到无法监测的程度。
我们再次陷入了沉思。
04
我继续往回走,毕竟夜班还得值,病人还得看。
第二天中午,我在食堂遇到了神外的张哥:「哥,昨晚那个小伙子,你们后来咋处理了?」
「听科室里的同僚说,给他移除了部分的颅骨。」张哥云淡风轻的语气让我觉得昨晚仿佛像是做了一场梦,「你永远都无法想象你的病人在来医院之前都做了什么,这兄弟干吃了八勺健身粉,给自己吃进了医院。」
八勺健身粉的故事我知道,但昨晚上没能细究,我试探性问道:「咖啡因?」
「可长点心吧小王,咖啡因至于吗?仔细研究了一下这玩意的成分表,发现里头有 β-苯乙胺。」
成分说明,在这种健身冲剂中,β-苯乙胺被描述为「有助于保持专注,保持良好心情,保持警觉性」。(图源:品牌官网)
β-苯乙胺?
我联想到另一种苯乙胺类物质——α-甲基苯乙胺,有时也写作安非他命,是一种中枢神经刺激剂,用来治疗注意力不足过动症、嗜睡症、和肥胖症。
α-甲基苯乙胺化学式(图源:Wikipedia)
而 α-甲基苯乙胺与另一种大众熟知的物质——甲基苯丙胺(又称甲基安非他命)又息息相关。
后者的结晶形态俗称冰毒、黑话「猪肉」,是一种强效中枢神经系统兴奋剂,主要被用于毒品,偶尔也被用于治疗注意力不足过动症和肥胖症。
甲基苯丙胺化学式(图源:Wikipedia)
而它们的「好兄弟」——β-苯乙胺,也正是因为类似的机制,被批准用于膳食保健品和健身补充剂等。
药用甲基苯丙胺药片(图源:Wikipedia)
只是,学过医都知道,如果服用高剂量的甲基安非他命,会引起中枢神经刺激导致的精神病、横纹肌溶解症、全身癫痫和颅内出血。过量服用,则还会因为多巴胺激活及血清素激活的神经毒性而造成轻微的脑损伤。
虽然相比于 α-甲基苯乙胺,β-苯乙胺可以在大脑中被快速分解或代谢,但是当人一次性摄入过量 β-苯乙胺,机体来不及分解代谢,也会导致物质长时间停留在突触间隙。
而这些物质长期存在,会对突触后膜产生持续性的刺激作用,刺激中枢神经系统持续兴奋,使心脏收缩力上升、兴奋性增高、传导加速,心输出量增多,心率加快;同时加强血管的收缩,使血压升高。
到这儿,患者的病因终于变得明朗了起来。
后来,我在张哥的朋友圈看完了这位患者的住院诊治经过,得知他被当成典型病例的时候还有些唏嘘,不过小命总算是救回来了,也是不幸中的万幸。
又过了一段时间,长到我几乎快要遗忘这位病人的时候,却在一个午后刷到了他的最新视频。
视频里的他似乎恢复的还不错。语重心长地讲述了自己的经历,提醒所有关注他的粉丝,要在医生和说明书的指导下科学合理地服用药物,不要重蹈他的覆辙。
而我,拿起中午吃完饭为了提神买的咖啡,小心翼翼地嘬了一口。(策划:carollero、gyouza)
感谢伊利诺伊大学 Bernard Hsu(@Chubbyemu) 提供并授权使用该病例
题图来源:东方卫视《生命时速·紧急救护 120》截图,与本案例无关
参考资料:
[1].@Chubbyemu YouTube 视频,Chubbyemu 本人提供的细节
[2].人民卫生出版社《内科学》
[3].Yu S, Zhu L, Shen Q, Bai X, Di X. Recent advances in methamphetamine neurotoxicity mechanisms and its molecular pathophysiology. Behav. Neurol. March 2015, 2015: 103969. PMC 4377385. PMID 25861156. doi:10.1155/2015/103969.
[4].Malenka RC, Nestler EJ, Hyman SE. 15. Sydor A, Brown RY (编). Molecular Neuropharmacology: A Foundation for Clinical Neuroscience 2nd. New York: McGraw-Hill Medical. 2009: 370. ISBN 978-0-07-148127-4.
[5].Krasnova IN, Cadet JL. Methamphetamine toxicity and messengers of death. Brain Res. Rev. May 2009, 60 (2): 379–407. PMC 2731235. PMID 19328213. doi:10.1016/j.brainresrev.2009.03.002.
[6].Corti R, Binggeli C, Sudano I, et al. Coffee acutely increases sympathetic nerve activity and blood pressure independently of caffeine content: role of habitual versus nonhabitual drinking. Circulation 2002; 106:2935.
[7].Nehlig A, Daval JL, Debry G. Caffeine and the central nervous system: mechanisms of action, biochemical, metabolic and psychostimulant effects. Brain Res Brain Res Rev 1992; 17:139.
中国医保,一生守护!维护医保基金安全,人人有责!打击欺诈骗保举报电话:010-89061396,010-89061397;邮箱:jubao@nhsa.gov.cn。






